
お知らせ
2018/11/25
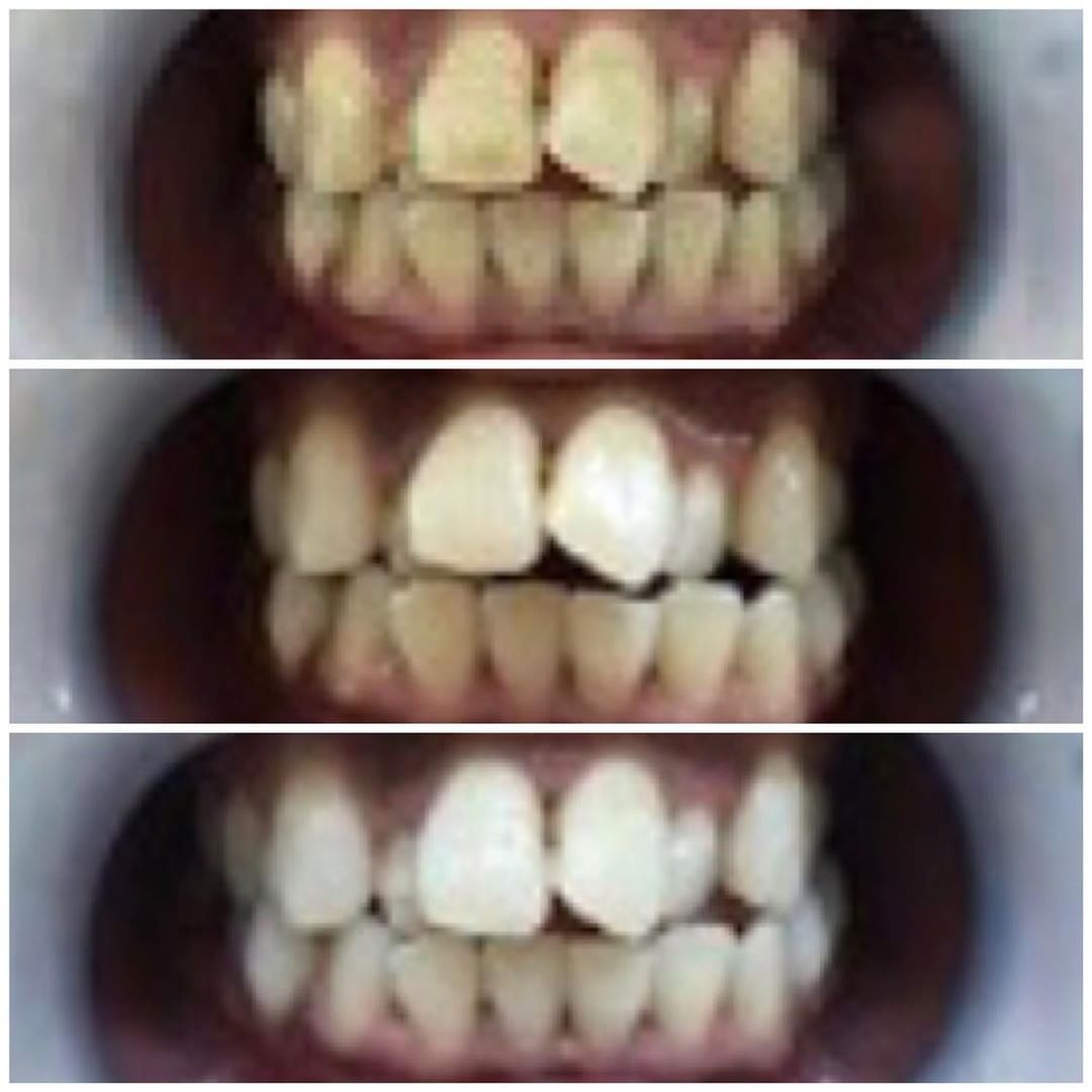
話題の歯磨き粉!!
お歯ようございます✨😁 お家で使うホワイトニング歯磨き粉を
ご紹介したいと思います!
ゲンキングさんで人気の美歯口シリーズ💖
歯の黄ばみ汚れを落としてくれる優れものです‼️ 忙しい方でも必ず毎日する歯磨き
歯に良いものを使った方が断然いいですよ⚠️
コーティングまでするので虫歯予防にもなります⭕️ またセルフホワイトニングした後のケアに使うとより美しい歯を保てます!
歯の黄ばみ汚れ、着色汚れが気になっている方にオススメします⤴︎⤴︎🤗 セルフホワイトニング
初回限定クーポン
1回4,950円が3回4,950円
【9,900円OFF】❗️❗️ 白い歯を取り戻しましょう😁😁😁 #名古屋市天白区
#名古屋市緑区
#セルフホワイトニング
#白い歯
#黄ばみ汚れ
#歯磨き粉
#ゲンキング
#コーティング
#虫歯予防
#口臭予防
#限定クーポン
#格安
#好印象
#簡単
#忙しい
#駅近サロン

2018/11/02
断然お得な◆早割クーポン◆が登場!!
10時~13時のご来店予約に限り
セルフホワイトニング3週間通い放題(最低保証付き)
通常¥50,000 ⇒ ¥25,000
なんと半額に!!
毎日通うと1回あたり・・・・¥595 (゚д゚)!
1回¥4,950が ¥595 とは破格のお値段です!!
先着順の受付となりますのでご予約はお早めに☆

2018/10/14
低コストで歯を白くできる♪
歯の黄ばみ・汚れが気になるけど
歯医者さんのホワイトニングは高額だし・・・
ホワイトニング用歯磨き粉は効き目があるのか・・・
とお悩みの方にオススメします!!
セルフホワイトニング
ご自分でやっていただくので低価格にてご提供!
また、他人に口の中を見せることに抵抗がある方にも
安心してご利用できます☆
歯医者さんでは一般的に3万~5万円と高額なホワイトニングもセルフホワイトニングでは5千円以下で出来ます(*^▽^*)
また、アフターケアがいらなく食事制限もなし!!
手軽に出来るのがメリットです♪
もちろん安いだけでは意味がない!!
痛みもなく、無機化合物で作られている薬剤なので
歯の負担もなし!!1回の施術でも十分に白さを実感できます。
一人でも多く、歯でお悩みの方へ便利さ・良さを知ってもらいたいです(^^)/
通常1回4,950円 ⇒ 初回価格 3回4,950円














