
お知らせ
2018/08/08
芸能人に人気のホワイトニング
最近では芸能人もどんどん始めている
セルフホワイトニング!!
先日もノンスタイルの井上さんが始めたという記事を見つけました!
美容番長と名高い井上さん♪
やはり手軽で簡単・低価格で出来る・短時間で済むというメリットで人気がでたんですね!!
なおかつちゃんと効果もあるので間違いなし!!(*´ω`*)
日々の生活で蓄積されてしまった歯の汚れ黄ばみを落とし
清潔感ある白い歯へ♪
まずは
初回クーポン
ご利用でお試しください☆

2018/07/25
見た目以上に汚れている?
割と綺麗な歯のお客様が見えました。
白くなるかな?と見守っておりました!
スプレータイプ2回照射で・・・
ビックリ!!
思った以上の白さになっていました!!
やはり綺麗に見えても汚れはついているんですね( ;∀;)
本来の白い歯に戻しましょう!!
清潔感のある明るい印象を与えます♪♪

2018/07/24
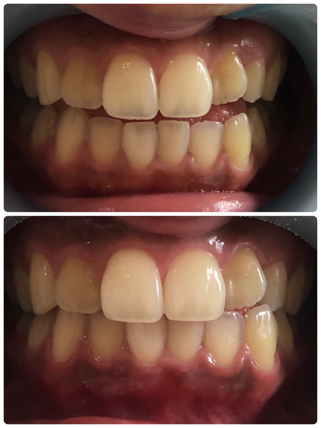
初回スプレータイプ2回使用
先日見えた20代女性。
着色汚れが気になるとのこと。
歯磨きでは落としきれなくなってしまった着色汚れなので
お客様のペースに合わせて落としていきます!
黄ばみは2回でだいぶ落ちていました(*^▽^*)
4トーンupでお顔全体も明るく見えます♪♪♪

2018/07/23
歯と関係するお顔の印象
歯で決まるお顔の印象👀
名古屋市天白区野並にあるトータルビューティーサロン美ノ滝🌸
白い歯が与えるお顔の印象を紹介したいと思います👌
・清潔感を与える
・メイク映えが良くなる
・明るいイメージを与える
・第一印象が良くなる
口元は顔の中で1番大きく動くものでとても印象に残りやすい部分なんです‼️
ホワイトニングをしたことで5歳若く見えるという調査結果も出ています✨
今までホワイトニングに興味はあるけど歯医者さんのは高くてなかなか出来なかったり、時間がなかったりと諦めていた方もセルフホワイトニングなら
出来るのでは無いでしょうか⤴︎⤴︎😁
1回30分弱で出来てお値段もリーズナブル🍀何よりも歯医者さんとの重要な違いは汚れの付着性です‼️⚠️
歯医者さんのホワイトニング後歯に着く汚れは一般的に高まりますが、当店セルフホワイトニングでは低くなります😁
歯を白くすると同時に抗菌・殺菌しコーティング効果があるので虫歯予防、口臭予防にもなるんです。
一石三鳥のセルフホワイトニングの
便利さ良さをもっと多くの人に伝われば良いなと思います☺️
初回限定
3回 4,950円 クーポンご利用できます💖
☎︎0528964114
ネット予約
@コスメサロン▶︎美ノ滝 検索
https://www.cosme.net/salon/s/binotaki/













