
お知らせ
2018/09/27
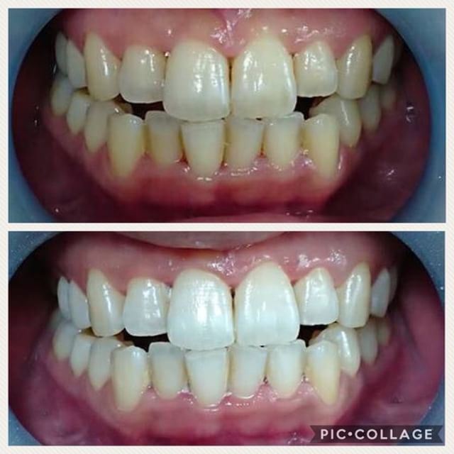
プレゼント当選者様☆☆☆
毎月3名様に当たるセルフホワイトニング無料♪プレゼント!
今月の当選者様のお写真です。
第一印象割と歯は白いと思いましたが
よく見ると歯の根元部分は結構黄ばみ汚れが
ありました!!
結果・・・
黄ばみ汚れはもちろん、歯の色もトーンup☆
やはり白い歯は綺麗です(^^♪
お客様の感想は・・・
思ってたより簡単で、時間もかからないから
通いやすいと(*^▽^*)
月1回のペースでご来店される予定です。
美容院へ行く感覚で一度ご来店くださいませ(^_-)-☆

2018/09/20
白い歯☆歯っピー♪
こんにちは☆
トータルビューティーサロン
美ノ滝です♪
セルフホワイトニングにきてくださる
お客様に、こんなに安いのに歯が白くなるなんて
嬉しい★!!!
というお声を大変多く頂いております☆
お客様が綺麗になり私もすごく嬉しいです☆☆☆
昨日ご来店くださったお客様も、
歯医者さんではすごく高いのに
ここではこんなに安くて歯が白くなるなんて!
もっと早く知っておけばよかったという
お声を頂きました☆
お友達同士、ご家族ご一緒にできます!!
みんなで白い歯で歯ッピーに
すごしましょう(^^)/★★★

2018/09/12
ジェルタイプ1回の結果☆
こんにちわ☆
ホワイトニングサロン 美ノ滝の近藤です(*^▽^*)
今日はうちのオーナーのお写真公開でーす☆
久しぶりにホワイトニングをしたそうで
ジェル1回の照射結果です!!
お客様には基本スプレータイプの薬剤を
オススメしているんんですが・・・
オーナーはジェルタイプが好きなのかな!?(笑)
元々白い歯がさらに白くなって綺麗ですね( *´艸`)
清潔感もupしお顔全体が明るく見えました!
私も見習って頑張ります(#^.^#)

2018/09/06
【お気に入りdeプレゼント】キャンペーン実施中
毎月3名様に当たる【お気に入りdeプレゼント】
早速当選者様がご来店してくださいました。♪
セルフホワイトニングの経験が全く無いとのことで
一緒にやらせて頂きました(*^▽^*)
歯を拝見させていただいたところ黄ばみ汚れが少し
目立つ印象でした。
今回は1回20分の照射をしてもらい・・・・
なんと・・・・・
8トーンupの結果が出ました!!(#^.^#)
やはりお顔の印象も明るく見えます!☆☆☆
ひとりでも多くのお客様に喜んで頂ける様
これからも頑張っていくのでよろしくお願いします!
来月もプレゼント募集しておりますので
ご応募お待ちしております!!(^^♪
お電話での予約もクーポン適用できます♪
☎052-896-4114
ネット予約
@コスメサロン 美ノ滝 検索

2018/08/09
時間のない方に!パパっと出来るセルホワイトニング☆
お盆休み直前で忙しくしている方も多いかと思います。
そんな方にすぐできるセルフホワイトニング!!
初回は施術説明を含め1時間程かかりますが
2回目以降は30分もあれば終わります!!
お仕事前、お仕事帰り、お買い物の合間などに
出来ちゃうとても便利なもの♪
歯医者のホワイトニングとは違いお値段もお手頃!!
美容院感覚で通えちゃいます☆
歯の黄ばみ、着色汚れが気になる方にオススメしています!!
また、虫歯予防、口臭予防にも効果的!
歯医者のホワイトニングとは逆に
歯にコーティング効果もあるので汚れが付きにくくなる優れもの◎
お気軽にお電話ください☆
ご予約お待ちしております。












